What are the benefits of digital dental x-rays?

Digital x-rays are one of the most wonderful advances in dental technology! We are super excited about our new Planmecca digital panorex unit. It has the most advanced technology to date.
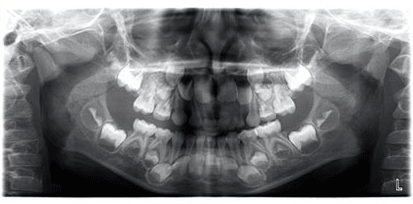
We have digital intra-oral sensors for regular x-rays and now we can take digital panorex x-rays of the whole jaw, for the orthodontist, to check growth and development, evaluate wisdom molars. And best yet, for kids with a sensitive gag reflex
we can now take bitewing x-rays from outside the mouth with NO sensors necessary in the mouth.

There are many benefits to using digital dental x-ray images, including:
- When the digital x-ray image is exposed, it can be sent directly to a computer and viewed right away. For x-ray film to be exposed, a staff member must process it in special chemicals. This takes a few minutes.
- Digital x-ray images can be enlarged on the computer screen. This makes it much easier for you and the dentist to see the pictures. Traditional x-ray films are viewed actual size.
- Digital x-ray images can often be corrected without having to make another x-ray exposure.
- The dental office can print or copy your digital x-ray images. They can also be sent electronically to insurance companies, which may help claims get processed faster.
- Digital x-rays are environmentally friendly. They eliminate the need for film and film processing chemicals.
- Digital x-ray images may require less radiation. The amount of radiation is generally reduced up to 70% – so our patients benefit from this!